Several weeks ago, I wrote in my journal about the experience of breaking my right ankle. It was a deep and angsty piece ruminating on the inconvenient timing of the accident, why God would allow it to happen two days after I quit my job (didn’t He know it was supposed to be a happy time?) and why it happened before I had other health issues resolved. “Why?” I asked God as I typed. “Why?”
Surely God knew I needed to find another job, at least part-time.
Surely He knew we didn’t need any more medical bills.
Like so many other things, it seemed a random misfortune, especially considering the manner in which it happened. I didn’t injure it skydiving or bungee jumping, or even by participating in that fitness staple of the forty-plus-year-old woman, “Zumba”.
I broke it by stepping out of bed because I needed to use the bathroom. It made a horrible crunch and I felt searing pain….stepping onto the floor.
I know….reckless, wanton behavior. What can I say? I live on the edge.
For eleven days after the injury, I didn’t seek medical help, believing that it was a bad sprain. I’ll just walk it out….I didn’t want to make a big deal about it, and frankly….I had other plans for that time. The swelling and pain got to be too much, and I finally relented, going to the doctor. The result of my top-notch stubbornness was a referral to an orthopedic specialist that quickly became a pre-op appointment and within days, surgery to rebuild my ankle. Clearly, denial was not a good strategy. When will I learn? Denial never works out for me.
The surgery went well, and I rested as directed for several days afterward. Still, I was frustrated about the whole thing, and though it seems silly in retrospect, I’ve always kind of liked my ankles the way they were. I know it sounds odd, but I could find fault with nearly every feature on my person, except for my ankles. And although they are disproportionally small, they really do a good job of helping my feet get me where I need to be.
I’m not a big fan of pain, either, and there was plenty of that involved.
The first time I had a good look at my leg after surgery, my husband was sitting with me. He makes it a point to be by my side when I need him most; he is just cool that way. I took off the boot, and unwrapped the dressings. Then the gauze pad.
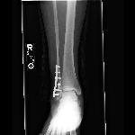
On the outside of my leg, an angry-looking five inch scar ran from the lower calve to the top of my foot. Stitches poked out at random intervals like little weeds in a garden row. And where did the bone go? The little round anklebone that should jut out a bit? GONE.
“It’s…it’s…” I sniffed “It looks like Franken-ankle!” That’s what it looked like to me.
To which my Beloved, a man who lives with three grown daughters and a very emotionally- driven wife replied, “It looks great!” He knows a thing or two about smoothing over hysteria. Less is more. He gave me the tightest hug and smiled, and I felt better.
Days later, when I did the writing, I felt better still. Bad things happen all of the time to each of us, much worse things than a broken leg. Maybe God allowed it to happen now so that I would slow down enough to actually do some writing, which I’d been threatening to do for years. I don’t really know, because the Almighty doesn’t let me in on the Master Plan, even when I ask real nice. Or ask repeatedly. The whole incident seemed overwhelming when it was happening, and as I heal, it sometimes still feels that way. But it’s better every day.
“Why” is a big thing with me; I wish it wasn’t. I am God’s oldest four-year-old, following him around and tugging on the hem of his garment, asking “WHY?” Writing about things always helps me work through the pesky stages of acceptance (including denial), and reminds me what REALLY holds me together in all of the ways that matter, the grace of God. Sticks and stones (and midnight bathroom trips) may break my bones, but His plans will never hurt me. He knows my needs, far better than I do.
As for what now holds my leg together? One titanium plate, six screws and one pin. In the grand scheme of things, it’s not a big deal. I am learning to reach for the hem of Jesus’ garment for His healing, and His will, instead of reaching out to ask Him “why”.
It’s a process.
“I don’t think the way you think.
The way you work isn’t the way I work.” – Isaiah 55:10
